
Medical Image Annotation Services
Introduction to Medical Image Annotation
In healthcare, medical image annotation plays a pivotal role in training AI models that support diagnosis, treatment planning, and drug discovery. From radiology scans to pathology slides, annotated data provides the foundation for algorithms that assist doctors, improve patient outcomes, and enable life-saving innovations.
What is Image Annotation?
Image annotation makes computers capable of acquiring knowledge from images or video data sets and understanding this information the same way humans do. By accurately identifying objects, boundaries, and attributes within 2D and 3D images, image annotation enables computer vision systems to interpret visual data with precision.
While automated algorithms help speed up the labeling process, human-in-the-loop (HITL) oversight ensures contextual accuracy and nuanced interpretation that machines alone can’t achieve. Image annotation can vary in complexity, from labeling individual pixels within an image to assigning a single tag to the entire image.
Enhance your AI model’s performance with our expert image annotation services tailored for your use-cases.

NextWealth’s Real-World Medical Annotation Wins
Case Example: A healthcare AI company developing lung cancer detection models faced challenges in handling large-scale CT scan data. NextWealth deployed domain-trained annotators with radiology-specific SOPs, delivering pixel-precise annotations.
Impact Delivered:
99%+ annotation accuracy across thousands of scans
30% reduction in AI model training cycles
Accelerated FDA approval support through reliable datasets

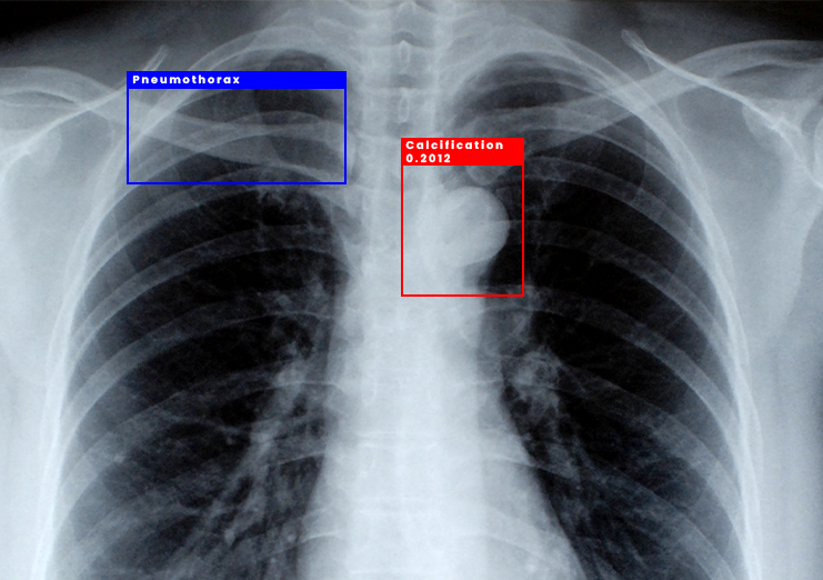
Types of Medical Image Annotation We Do
Organ & Tissue Segmentation
We annotate organs and tissues across modalities, enabling AI to differentiate structures for diagnosis and treatment planning.


Tumor & Lesion Annotation
Detailed labeling of tumors, nodules, and lesions helps AI models detect cancers and other abnormalities at early stages.
Cell & Histopathology Annotation
Annotation of microscopic cells and tissue samples powers AI-driven pathology for drug discovery and disease classification.


Skeletal & Joint Annotation
Landmark and region-level annotations on bones and joints support orthopedic analysis and sports medicine AI models.
Multi-Modal Annotation
Cross-referencing X-rays, CTs, MRIs, and pathology slides enables holistic AI models capable of integrating different medical perspectives.

Types of Image Annotation services
We understand the complexities of machine learning and, hence, make use of the latest technologies and industry best practices to provide unrivalled image annotation services to businesses. We incorporate various types of image annotation solutions to solve your machine-learning challenges.
Semantic Segmentation
Bounding Box Annotation
Landmark Annotation
Polygon Annotation
3D Volumetric Annotation
Use Cases of Medical Image Annotation Across Industries
Radiology & Diagnostics

AI models trained on annotated scans help radiologists detect diseases faster and with higher accuracy, reducing human error.
Pathology & Drug Discovery

Annotated cell and tissue images enable automated drug testing, cancer classification, and biomarker identification.
Surgical Planning & Robotics

3D annotated datasets support robot-assisted surgeries and pre-surgical planning with precise anatomical guidance.
Medical Research & Education

Annotated datasets help researchers and educators train AI models, simulate diseases, and teach medical students effectively.
Preventive Healthcare

AI-powered screening tools use annotated datasets to detect early signs of diseases, enabling proactive care.
Ready to start your image annotation project?
Talk To Our ExpertNextWealth’s Approach to Medical Image Annotation
NextWealth combines AI automation with Human-in-the-Loop expertise to deliver accurate, scalable medical image annotation.
- Domain-trained annotators with medical knowledge and strict SOP adherence
- HIPAA-compliant infrastructure ensuring data security and patient privacy
- Multi-layered QA for 99%+ accuracy in critical medical datasets
- Scalable operations handling millions of medical images with cost efficiency
- Collaborative model with clients, ensuring domain SME involvement for edge cases
With precision, scalability, and compliance, NextWealth powers the next generation of AI-driven healthcare innovations.
Successful client stories and case studies
Deep dive into our journey of partnering with the global business giants.



Why partner with us
Our services are tailored to elevate the efficiency of your AI/ML processes
Managed Services l Captive Services l Staffing Services
5,000+
Skilled
Employees
1B+
Data
Transactions
40+
Live Projects
10+
Fortune 500
Clients
73
NPS Score
Testified and trusted by
the best in the world of business
I am really happy at all the great things we have been able to achieve in the past 1 year. The relationship now has a solid foundation, and I am sure NextWealth will continue to be a formidable partner going ahead, bringing a delightful experience for our customers.
NextWealth has been an invaluable partner to us, significantly accelerating our growth by handling critical data operations and providing strategic insights.
NextWealth’s hard work and dedication are truly making a difference, streamlining our processes significantly. We really appreciate it!
My experience with NextWealth has been wonderful. The diligent team consistently delivers on time with a focus on quality. Their innovation-driven mindset fosters a win-win situation for both teams.
I am happy with the improvement in the performance. I have seen positive improvement, and we have a long way to go.
NextWealth’s in-depth analysis helped us pinpoint exactly what needs to be done to address the issues.
With excellence in Quality, Cost, and TAT—key pillars of any operation—NextWealth sets a benchmark for operational efficiency and beyond.
We have experienced significant growth—a success we could not have achieved without the expert support, hard work, and commitment of NextWealth.
Explore Resources
Know how we are accelerating business growth by enabling effectiveness in AI/ML

From Chaos to Clarity: How Catalog Taxonomy Improves Product Search and Navigation
1 min read

How NextWealth’s Human-in-the-Loop Approach Strengthens Ethical AI
1 min read
Latest Update

FAQs
Lorem ipsum dolor sit amet consectetur. Nunc pretium et magna leo pellentesque duis.
Lorem ipsum dolor sit amet consectetur. Netus nullam non consequat sit aliquet ullamcorper cursus. Diam egestas eu malesuada imperdiet urna felis morbi dis aliquam. Pharetra amet libero nisi risus arcu blandit a morbi morbi. Lacus nec in venenatis risus. Quam amet faucibus scelerisque eleifend. Pellentesque ornare ultrices aliquet enim urna. Mi consectetur ut maecenas nunc luctus egestas feugiat.
Pellentesque felis tempor volutpat leo luctus egestas ornare. Vulputate bibendum dui vulputate non massa. Quis enim neque arcu eu ac risus est sed.
Lorem ipsum dolor sit amet consectetur. Lacus.
Lorem ipsum dolor sit amet consectetur. Netus nullam non consequat sit aliquet ullamcorper cursus. Diam egestas eu malesuada imperdiet urna felis morbi dis aliquam. Pharetra amet libero nisi risus arcu blandit a morbi morbi. Lacus nec in venenatis risus. Quam amet faucibus scelerisque eleifend. Pellentesque ornare ultrices aliquet enim urna. Mi consectetur ut maecenas nunc luctus egestas feugiat.
Pellentesque felis tempor volutpat leo luctus egestas ornare. Vulputate bibendum dui vulputate non massa. Quis enim neque arcu eu ac risus est sed.
Lorem ipsum dolor sit amet consectetur. Sem purus eget pretium at amet ultrices tempor. Lectus viverra lacinia tristique est id varius est. Risus in duis a congue odio.
Lorem ipsum dolor sit amet consectetur. Netus nullam non consequat sit aliquet ullamcorper cursus. Diam egestas eu malesuada imperdiet urna felis morbi dis aliquam. Pharetra amet libero nisi risus arcu blandit a morbi morbi. Lacus nec in venenatis risus. Quam amet faucibus scelerisque eleifend. Pellentesque ornare ultrices aliquet enim urna. Mi consectetur ut maecenas nunc luctus egestas feugiat.
Pellentesque felis tempor volutpat leo luctus egestas ornare. Vulputate bibendum dui vulputate non massa. Quis enim neque arcu eu ac risus est sed.
Lorem ipsum dolor sit amet consectetur. Neque lorem et enim tempus. Vitae.
Lorem ipsum dolor sit amet consectetur. Netus nullam non consequat sit aliquet ullamcorper cursus. Diam egestas eu malesuada imperdiet urna felis morbi dis aliquam. Pharetra amet libero nisi risus arcu blandit a morbi morbi. Lacus nec in venenatis risus. Quam amet faucibus scelerisque eleifend. Pellentesque ornare ultrices aliquet enim urna. Mi consectetur ut maecenas nunc luctus egestas feugiat.
Pellentesque felis tempor volutpat leo luctus egestas ornare. Vulputate bibendum dui vulputate non massa. Quis enim neque arcu eu ac risus est sed.
Why Choose NextWealth?

Quality Assurance

Scalability

Data Security

